
Liên quan đến tình trạng tăng đông máu hậu COVID-19, nhiều trường hợp sau khi nhiễm bệnh rơi vào tình trạng thuyên tắc động mạch phổi. Số ca bị bệnh lý này gia tăng gần đây tại Bệnh viện Trung ương Quân đội 108.
Gia tăng bệnh nhân bị thuyên tắc động mạch phổi cấp
Theo ThS, BS Lưu Quang Minh, Khoa Hồi sức tim mạch, Bệnh viện Trung ương Quân đội 108, gần đây khoa liên tục tiếp nhận những trường hợp cấp cứu thuyên tắc động mạch phổi cấp với nhiều bệnh cảnh khác nhau. Có bệnh nhân đang mổ thì đột ngột ngừng tim, có bệnh nhân đang điều trị đột quỵ thì xuất hiện khó thở, tụt huyết áp hay như một cụ già cao tuổi nằm lâu cũng xảy ra tình huống này. Đặc biệt, số ca sau nhiễm COVID-19 mắc bệnh lý này cũng gia tăng.
Đặc biệt nhất đối với Khoa Hồi sức tim mạch là trường hợp của bệnh nhân T.L.N. (98 tuổi, trường hợp rất hi hữu vì cao tuổi nhất thế giới). Bệnh nhân có bệnh nền tăng huyết áp, đái tháo đường type 2.
Vài ngày sau khi tiêm vaccine dự phòng COVID-19, bên cạnh những tác dụng phụ mệt mỏi, ăn uống kém, bệnh nhân khó thở dữ dội đột ngột, huyết áp tụt sâu 60/30 mmHg. Bệnh nhân được các y, bác sĩ Khoa Hồi sức tim mạch nhanh chóng chẩn đoán sốc tim do thuyên tắc động mạch phổi hai bên và được tiêu sợi huyết cấp cứu.
Trực tiếp điều trị cho ca bệnh này, bác sĩ Nguyễn Thành Huy, Khoa Hồi sức tim mạch chia sẻ, sau khi phát hiện có huyết khối động mạch phổi 2 bên, các bác sĩ quyết định tiêu sợi huyết cấp cứu mặc dù bệnh nhân 98 tuổi và có nguy cơ chảy máu rất cao.
"Có thể nói đây là 1 trường hợp vô cùng hiếm vì y văn trên thế giới chưa có ca bệnh nào cao tuổi như vậy được mô tả. Sau khi tiêu sợi huyết làm tan cục huyết khối diễn biến bệnh nhân ổn định dần, huyết áp tăng dần, bỏ dần được các thuốc vận mạch nâng huyết áp, tình trạng hô hấp ổn hơn, 2-3 ngày sau bệnh nhân trở về trạng thái trước khi vào viện và được ra viện sau đó không lâu”, bác sĩ Huy nói.
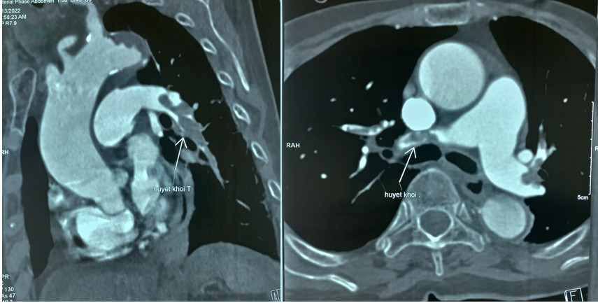
Bệnh nhân N.T.T. (92 tuổi), vào viện vì gãy xương đùi phải có chỉ định thay khớp háng. Trong quá trình phẫu thuật đột ngột tụt huyết áp, nhịp tim chậm dần, các bác sĩ nhanh chóng nghĩ ngay đến hiện tượng thuyên tắc động mạch phổi và chụp CT động mạch phổi.

Bệnh nhân N.T.T. 92 tuổi sốc tim do thuyên tắc động mạch phổi cấp hai bên.
Bệnh nhân được dùng thuốc tiêu sợi huyết cấp cứu ngay trên bàn phẫu thuật, kết hợp hồi sức tim mạch tích cực trước, trong và sau mổ. Tình trạng của bà sau khi được chẩn đoán và điều trị kịp thời tiến triển tốt lên theo từng giờ. Hiện tại bà đã tỉnh táo và có thể tự sinh hoạt bình thường.
Thuyên tắc động mạch phổi là nguyên nhân đứng thứ 2 gây đột tử do tim
Chia sẻ về căn bệnh thuyên tắc động mạch phổi, TS Đặng Việt Đức, Chủ nhiệm Khoa Hồi sức Tim mạch Bệnh viện Trung ương Quân đội 108 cho biết, thuyên tắc động mạch phổi cấp là một bệnh khá thường gặp, là nguyên nhân đứng thứ 2 gây đột tử do tim. 80% bệnh nhân tử vong trong bệnh viện mà không xác định được nguyên nhân khi giải phẫu thi thể được xác định do thuyên tắc động mạch phổi.
"Trong đại dịch COVID-19, có vẻ như chúng ta bắt gặp nhiều trường hợp thuyên tắc động mạch phổi hơn trước đây liên quan đến tình trạng tăng đông máu hậu COVID-19. Tuy vậy, khả năng chẩn đoán và điều trị phụ thuộc vào trang bị, kinh nghiệm của từng cơ sở y tế", bác sĩ Đức nói.
Khi thuyên tắc động mạch phổi cấp mức độ nặng, nguy cơ tử vong có thể lên tới 60% với diễn biến thường rất nhanh trong 1 đến 2 giờ đầu. Do vậy, các bác sĩ phải luôn nghĩ tới nó thì mới kịp đưa ra chiến lược chẩn đoán và điều trị cho người bệnh.
Theo bác sĩ Đức, căn bệnh này không phải hiếm gặp nhưng lại ít người biết đến. Đối tượng chủ yếu là người già yếu nằm lâu bất động hay các bệnh nhân đột quỵ não, bệnh nhân phẫu thuật, phụ nữ trong độ tuổi sinh đẻ có thể liên quan đến vấn đề thai nghén, hoặc các bệnh nhân có sẵn bệnh lý huyết khối tĩnh mạch chi dưới.
Bệnh có nhiều biểu hiện mức độ khác nhau. Với mức độ nặng có thể gây sốc, tụt huyết áp, suy hô hấp. Biểu hiện nhẹ xuất hiện khó thở mức độ vừa, không gây hiện tượng sốc. Thậm chí có những bệnh nhân âm thầm không có biểu hiện, mãn tính lâu ngày không phát hiện ra.
Bác sĩ Đức cũng cảnh báo, hút thuốc lá, béo phì, sử dụng thuốc tránh thai có thành phần estrogen cũng là yếu tố nguy cơ của thuyên tắc động mạch phổi. Một số chất khác gây thuyên tắc động mạch phổi như mỡ tủy xương sau gãy xương, một phần của khối u, bong bóng khí.
Tuy nhiên chủ yếu thuyên tắc động mạch phổi là do huyết khối tĩnh mạch sâu cho nên các hướng dẫn đều gắn liền thuyên tắc động mạch phổi và huyết khối tĩnh mạch sâu với nhau.
Chính vì vậy để phòng tránh bệnh, người dân nên thường xuyên đi kiểm tra sức khỏe để tránh những hậu quả khó lường.






(3).jpg?width=300&height=-&type=resize)